Doenças pulmonares fibrosantes progressivas – onde o radiologista pode ajudar?
Maio, 2023
Leia ou ouça este conteúdo
Há alguns anos tem se discutido o manejo, diagnóstico e tratamento de pacientes com fibrose pulmonar progressiva não relacionada à fibrose pulmonar idiopática, sendo que em maio de 2022 foi publicado um consenso de atualização(1), que consolidou estas informações e definições.
A fibrose pulmonar progressiva (FPP) pode ser considerada em pacientes com doença pulmonar intersticial de causas conhecidas ou não, que não sejam fibrose pulmonar idiopática e que apresentam fibrose pulmonar em exames radiológicos. Consiste na presença de ao menos 2 dos 3 seguintes critérios: piora dos sintomas respiratórios, evidência de piora nas provas de função pulmonar ou evidência de progressão radiológica da doença. Ressalta-se que a FPP não é considerada um diagnóstico etiológico, sendo independente da doença de base, e relaciona-se com o prognóstico do paciente(1).
Entre os padrões de fibrose que podem manifestar a fibrose pulmonar progressiva (FPP), pode-se incluir pneumonia intersticial não específica com padrão fibrosante (PINE), fibroelastose pleuroparenquimatosa (que pode coexistir com outros padrões de fibrose como pneumonia intersticial usual), pneumonia em organização, pneumonia intersticial descamativa, pneumonia intersticial relacionada a doenças do tecido conjuntivo, pneumonite por hipersensibilidade com fibrose, pneumonia intersticial ocupacional, histiocitose de células de Langerhans com fibrose, sarcoidose com fibrose e outras pneumopatias intersticiais fibróticas não classificáveis(1).

Adaptado Cottin V et al. Eur Respir Rev 2018;27:180076
A definição de progressão radiológica da fibrose pulmonar pode consistir na avaliação visual e quantitativa da imagem. Na avaliação visual, é realizada a análise comparativa da quantidade de acometimento em todos os campos pulmonares observando-se os eixos axial, coronal e sagital, considerando-se os exames iniciais e de seguimento. O aumento na extensão da fibrose é considerado progressão. A progressão radiológica pode ser representada por aumento na extensão das bronquiectasias e bronquiolectasias de tração, novas opacidades em vidro fosco com bronquiectasias de tração, novo reticulado fino ou aumento do componente grosseiro, faveolamento novo ou aumento do faveolamento inicial, além de aumento na redução volumétrico do lobo acometido(1).
Em pacientes com FPI, a progressão radiológica geralmente se manifesta com aumento na extensão do padrão de pneumonia intersticial usual (PIU), tanto no plano axial como longitudinal, geralmente acompanhado do aumento no tamanho e quantidade de cistos de faveolamento. Além disso, o aumento na quantidade de bronquiectasias e bronquiolectasias de tração demonstrou ser um fator preditor de mortalidade na FPI(2). Em pacientes com outras doenças intersticiais pulmonares, o padrão de progressão pode ser variável, incluindo evolução das opacidades em vidro fosco para alteração reticulares ou evolução do reticulado para cistos de faveolamento, podendo se associar a aumento na extensão das bronquiectasias e bronquiolectasias de tração. Pacientes com padrão de pneumonia intersticial não específica (PINE) podem progredir para um padrão semelhante a PIU, por exemplo(3).

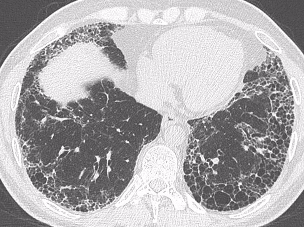
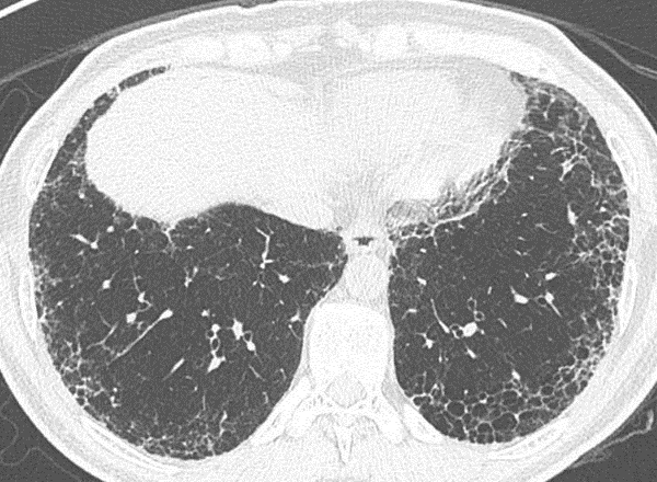
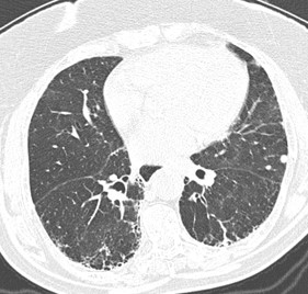
Figura 1A e B: Paciente com fibrose pulmonar idiopática mostrando franca progressão da doença nos exames de imagem de seguimento com diferença de 1 ano. Note a maior extensão do reticulado, bronquiectasias, bronquiolectasias e do faveolamento em B.
Recomenda-se realizar a tomografia computadorizada de alta definição do tórax quando houver a suspeita clínica de progressão da fibrose(1), porém, o intervalo ótimo para a realização de exames de imagem de seguimento não é conhecido. Alguns estudos que acompanharam pacientes com esclerose sistêmica e função pulmonar estável com o objetivo de se detectar progressão de doença sugerem o intervalo de 12-24 meses, porém esses dados são de evidência limitada(4).
A proporção exata de pacientes com doença intersticial pulmonar não FPI que podem desenvolver FPP não é conhecida(1), porém alguns achados radiológicos, podem ajudar a prever progressão da doença intersticial. A presença de cistos de faveolamento e bronquiectasias de tração, por exemplo, se relacionam com prognósticos clínicos piores, assim como extensas alterações fibróticas são consideradas preditor de mortalidade em pacientes com FPI, doença intersticial relacionada a artrite reumatoide, esclerose sistêmica, pneumonite por hipersensibilidade com fibrose, sarcoidose e doenças intersticiais pulmonares não classificadas(5).

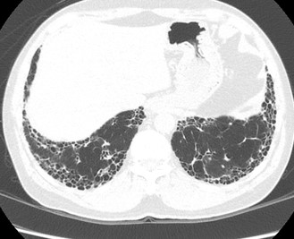
Figura 2. A e B: Paciente com artrite reumatóide e padrão de pneumonia intersticial usual (PIU). Controle de 4 anos (B) não evidencia progressão significativa das alterações.

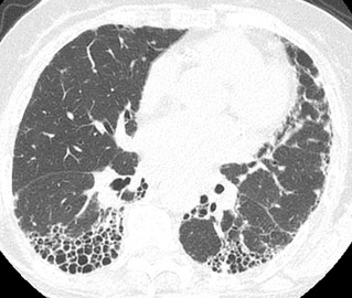
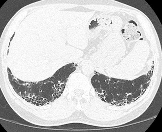
Figura 3 A e B: Paciente com artrite reumatóide e padrão de pneumonia intersticial usual. Note a franca progressão da fibrose no controle de 3 anos (B) com maior extensão do reticulado, das bronquiectasias e do faveolamento.
Além disso, sinais tomográficos de intersticiopatia fibrosante inicial, como as anormalidades intersticiais pulmonares (conhecidas pela sigla ILA na literatura inglesa), são considerados fator de risco independente para mortalidade(6). Esses achados são caracterizados por opacidades não decúbito dependentes, incluindo vidro fosco, reticulado, distorção arquitetural, bronquiectasias de tração, faveolamento e cistos não de faveolamento, acometendo mais de 5% de uma zona pulmonar, identificados de forma incidental em pacientes sem suspeita de doença intersticial. Cerca de 40% dos pacientes com esses achados apresentam progressão radiológica quando seguidos por 4 a 6 anos(7).
A avaliação quantitativa da progressão da fibrose pulmonar na imagem pode ser determinada por programas de análise quantitativa, que permitem uma mensuração mais objetiva e reprodutível que a avaliação visual(8). Esses métodos evoluíram de técnicas simples baseadas em histogramas de densidade para técnicas de “machine learning” relacionadas a textura e classificações de “deep learning”. Essas novas técnicas ainda devem ser estudadas para serem devidamente validadas e padronizadas em protocolos antes de serem totalmente difundidas(8).
A identificação da FPP é importante uma vez que os pacientes com essa condição podem se beneficiar do uso de antifibróticos(9). É sabido que agentes antifibróticos, em especial nintedanibe, tem através de seus estudos clínicos uma comprovada redução na velocidade da progressão da doença e são recomendados no tratamento e seguimento pelo último consenso da ATS/ERS/JRS/ALAT(1).
Devido à importância do diagnóstico da FPP e pelas perspectivas de tratamento, é fundamental que o radiologista tenha conhecimento de sua definição e dos fatores que configuram progressão radiológica da doença intersticial pulmonar.
Algumas questões envolvendo a FPP ainda não são bem conhecidas e exigem estudos adicionais, como as razões que levam um grupo de pacientes com diferentes causas de doença intersticial a apresentar a FPP, quais seriam os gatilhos, predisposição genética e as vias associadas a essa condição e quais seriam os biomarcadores que podem ajudar a identificar os indivíduos com risco para desenvolver FPP(1). Ainda é necessário, também, validar mecanismos de análise quantitativa na imagem e que possam auxiliar na identificação de padrão de doenças e progressão.
Autores:
Camila Soares Franco – radiologista torácica do InRad – HC-FMUSP
Márcio Sawamura – coordenador do grupo de radiologia torácica do InRad – HC-FMUSP
Referências
-
1.
Raghu G, Remy-Jardin M, Richeldi L, Thomson CC, Inoue Y, Johkoh T, et al. Idiopathic Pulmonary Fibrosis (an Update) and Progressive Pulmonary Fibrosis in Adults - An Official ATS/ERS/JRS/ALAT Clinical Practice Guideline. Am J Respir Crit Care Med. 2022 May 1;205(9):e18-e47.
-
2.
Jacob J, Aksman L, Mogulkoc N, Procter AJ, Gholipour B, Cross G, et al. Serial CT analysis in idiopathic pulmonary fibrosis: comparison of visual features that determine patient outcome. Thorax 2020;75:648–654.
-
3.
Silva CIS, Muller NL, Hansell DM, Lee KS, Nicholson AG, Wells AU. Nonspecific interstitial pneumonia and idiopathic pulmonary fibrosis: changes in pattern and distribution of disease over time. Radiology 2008;247:251–259.
-
4.
Carnevale A, Silva M, Maietti E, Milanese G, Saracco M, Parisi S, et al. Longitudinal change during follow-up of systemic sclerosis: correlation between high-resolution computed tomography and pulmonary function tests. Clin Rheumatol 2021;40:213–219.
-
5.
Kolb M, Vasakova M. The natural history of progressive fibrosing interstitial lung diseases. Respir Res 2019;20:57.
-
6.
Hatabu H, Hunninghake GM, Lynch DA. Interstitial lung abnormality: recognition and perspectives. Radiology 2019;291:1–3.
-
7.
Putman RK, Gudmundsson G, Axelsson GT, Hida T, Honda O, Araki T, et al. Imaging patterns are associated with interstitial lung abnormality progression and mortality. Am J Respir Crit Care Med 2019;200:175–183.
-
8.
Hansell DM, Goldin JG, King TE Jr, Lynch DA, Richeldi L, Wells AU. CT staging and monitoring of fibrotic interstitial lung diseases in clinical practice and treatment trials: a position paper from the Fleischner Society. Lancet Respir Med 2015;3:483–496.
-
9.
Ghazipura M, Mammen MJ, Herman DD, Hon SM, Bissell BD, Macrea M, Kheir F, Khor YH, Knight SL, Raghu G, Wilson KC, Hossain T. Nintedanib in Progressive Pulmonary Fibrosis: A Systematic Review and Meta-Analysis. Ann Am Thorac Soc. 2022 Jun;19(6):1040- 1049.